ALERT CONTENT PLACEHOLDER

Our Videos


Images from Our Labs

Diabetes

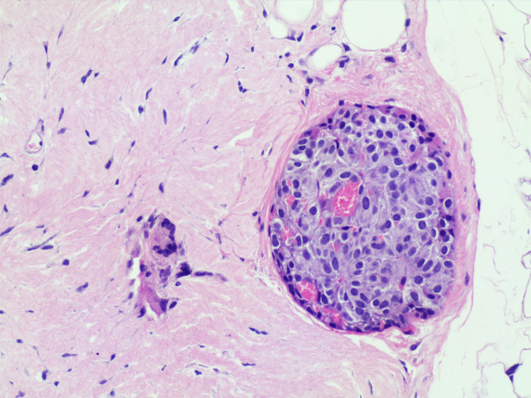
Cell Type: 5 months in vivo maturation of hESC-derived pancreas progenitors
Cell Type: 5 months in vivo maturation of hESC-derived pancreas progenitors
Stain: H&E
Credit: Imaged by Frankie Poon, PhD Student (Nostro Lab)
Relevance: Islet-like structures found in mice transplanted with stem cell-derived pancreas progenitors.
Cell Type: 5 months in vivo maturation of hESC-derived pancreas progenitors
Cell Type: 5 months in vivo maturation of hESC-derived pancreas progenitors
Stain: Insulin-green; Glucagon-red
Credit: Stained and Imaged by Frankie Poon, PhD Student (Nostro Lab)
Relevance: Stem cell-derived pancreas progenitors differentiated into insulin and glucagon-expressing cells after transplantation.
Cell Type: 5 months in vivo maturation of hESC-derived pancreas progenitors
Cell Type: 5 months in vivo maturation of hESC-derived pancreas progenitors
Stain: Insulin-green; NKX6-1-purple
Credit: Stained and Imaged by Frankie Poon, PhD Student (Nostro Lab)
Relevance: Insulin-expressing cells also express nuclear-localizing NKX6-1, a β-cell marker.


Heart

hPSC-derived Pacemaker Cardiomyocytes
Cell Type: hPSC-derived Pacemaker Cardiomyocytes
Stain: CTNT-white, SHOX2-red, DAPI-blue
Credit: Cells and imaging by Stephanie Protze, PhD (Protze Lab)
Relevance: New Pacemaker Cardiomyocytes made from stem cells offer hope as a cellular therapy for heart rhythm diseases.
hPSC-derived Pacemaker Cardiomyocytes
Cell Type: hPSC-derived Pacemaker Cardiomyocytes
Stain: CTNT-green, COUPTFII-red, DAPI-blue
Credit: Cells by Stephanie Protze, PhD, imaged by Blair K. Gage, PhD (Protze Lab)
Relevance: New Pacemaker Cardiomyocytes made from stem cells offer hope as a cellular therapy for heart rhythm diseases.
hPSC-derived Atrial Cardiomyocytes
Cell Type: hPSC-derived Atrial Cardiomyocytes
Stain: CTNT-white, COUPTFII-red, DAPI-blue
Credit: Cells and imaging by Stephanie Protze, PhD (Protze Lab)
Relevance: Atrial Cardiomyocytes made from stem cells that can be used to test new drugs to treat diseases like atrial fibrillation.

Human pluripotent stem cell-derived cardiomyocyte in vitro
Cell Type: Human pluripotent stem cell-derived cardiomyocyte in vitro
Stain: Connexin-43 - white, red -cardiac troponin T, sarcolemma/WGA- green, nuclei/DAPI- blue
Credit: Joe Jargstorf (Laflamme Lab)
Relevance: Expression and subcellular localization of gap junction protein connexin-43 in stem cell-derived cardiomyocytes.
Human pluripotent stem cell-derived cardiomyocyte graft in infarcted pig heart
Cell Type: Human pluripotent stem cell-derived cardiomyocyte graft in infarcted pig heart
Stain: alpha-actinin- green, human-specific Ku80 - red, nucei/Hoechst - blue
Credit: Rocco Romagnuolo, PhD (Laflamme Lab)
Relevance: Human cardiomyocytes can stably engraft in injured pig heart. Upper portion of image shows graft cardiomyocytes; Ku80-negative cells near bottom of image represent host myocardium.


Liver

hPSC-derived Liver Sinusoidal Endothelial Like Cells
Cell Type: hPSC-derived Liver Sinusoidal Endothelial Like Cells
Stain: CD32B-green, LYVE1-red, VWF-blue, DAPI-white
Credit: Cells and imaging by Blair K. Gage, PhD (Keller Lab)
Relevance: New Liver Sinusoidal Endothelial Cells made from stem cells offer hope for liver tissue engineering and as a cellular therapy for hemophilia A.
hPSC-derived Liver Sinusoidal Endothelial Like Cells
Cell Type: hPSC-derived Liver Sinusoidal Endothelial Like Cells
Stain: CD31-green, LYVE1-red, DAPI-blue
Credit: Cells and imaging by Blair K. Gage, PhD (Keller Lab)
Relevance: New Liver Sinusoidal Endothelial Cells made from stem cells offer hope for liver tissue engineering and as a cellular therapy for hemophilia A.


Blood

Blood cells from stem cells produced in the labs of Dr. Gordon Keller
Cell Type: Blood cells from stem cells produced in the labs of Dr. Gordon Keller.
​​
Quicklinks
Back to Top